আমাদের আজকের আলোচনার বিষয় ওরাল হাইজিন – যা দৈনন্দিন কর্মকান্ডে সহযোগিতা এর অন্তর্ভুক্ত।
ওরাল হাইজিন
স্বাস্থ্যসম্মত্ত মুখগহবর তথা স্বাস্থ্যবান দাঁত হল শারীরিক এবং মানসিক সুখের এক পূর্বশর্ত। জনসমক্ষে কথা বলতে, হাসতে ব্যক্তিকে প্রতিবারই দাঁত প্রদর্শন করতে হয়। অস্বাস্থ্যকর মুখগহবরের কারণে শারীরিক অসুবিধা তো আছেই – এছাড়া মুখের বাজে গন্ধ অথবা দাঁত-মাড়ির শোচনীয় অবস্থা আমাদের আত্মবিশ্বাসকেও নড়বড়ে করে দেয়।
শক্ত সুগঠিত এবং স্বাস্থ্যকর মুখ ও দাঁতের সাহায্যে আমরা সঠিকভাবে খাদ্য চিবিয়ে খেতে পারি, কথা পরিষ্কারভাবে বলতে পারি এবং অবশ্যই মনোহুর হাসি হাসতে পারি। ওরাল হাইজিন বলতে মুখ-গহবরের ভেতর অবস্থিত দীত, মাড়ি এবং জিহ্বার সম্মিলিত সঠিক এবং বিজ্ঞান সম্মত পরিচর্যাকে বুঝায় ।
যেসকল রোগী তাদের দৈনন্দিন কর্মকান্ডের অংশ হিসেবে মুখ গহবরের যত্ন নিতে পারেন না তারা মুখের ভিতরে দাঁতের ক্ষয় অথবা ক্যাভিটিসহ বিভিন্ন সংক্রমণের ঝুঁকিতে থাকেন।


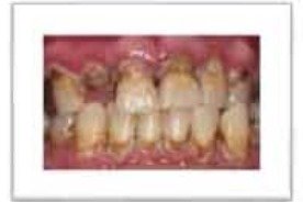
মুখগহবর সঠিকভাবে পরিষ্কার না করার ফলে সৃষ্ট গ্রেক একসময় মাড়িতে জিঞ্জিভাইটিস নামক রোগের সৃষ্টি করে। এতে মাড়ি লাল হয়ে ফুলে যায় এবং প্রচন্ড ব্যথার সৃষ্টি করে ।
মুখগহ্বরের স্বাস্থ্য সুরক্ষার প্রয়োজনীয়তা
মান সম্পন্ন মৌখিক যত্ন যে কোনো বয়সের জন্য গুরুত্বপূর্ণ। তবে, নির্দিষ্ট জনগোষ্ঠীর ক্ষেত্রে বিশেষ মৌখিক স্বাস্থ্যবিধি ও যত্নের প্রয়োজন, যেমন – বয়ঃবৃদ্ধ, শারীরিক ও মানসিকভাবে অসুস্থ, বিশেষ চাহিদা সম্পন্ন শিশু। ক্রমবর্ধমানহারে বর্তমানে পরিবারের সদস্যরা কেয়ারগিভার রাখতে আগ্রহী হচ্ছেন।
তাই কেয়ারগিভারদের খুব গুরুত্বপূর্ণ একটি কর্মদক্ষতা হলো, গ্রাহকের মৌখিক স্বাস্থ্যের ব্যাপারে জানা। ওরাল হাইজিন সাধারণ স্বাস্থ্য এবং জীবনযাত্রার মানের জন্য গুরুত্বপূর্ণ। তাই প্রত্যেকের প্রতিদিন মুখের যত্ন নেওয়া দরকার।
একটি স্বাস্থ্যকর মুখ :
১। ভালো খাদ্যাভাস তৈরি করে: কারণ ব্যক্তি স্বাদ নিতে সক্ষম হয়।কামড়, চিবানো এবং ব্যথা বা অস্বস্তি ছাড়াই খাবার গিলে ফেলতে পারে।
২। ওরাল ইনফেকশন প্রতিরোধ করে।
৩। রোগীদের নিজের সম্পর্কে ভালো বোধ করতে সহায়তা করে।
৪। দুর্গন্ধযুক্ত নিঃশ্বাস প্রতিরোধ করে।
মুখ সুস্থ রাখার ফলে শরীর সুস্থ থাকে।মাইক্রো-অর্গানিজম (যেমন, ব্যাকটিরিয়া) থেকে মুখের সংক্রমণ রক্ত প্রবাহে বা শ্বাসযন্ত্রে প্রবেশ করে এবং চলাচল করতে পারে শরীরের অন্যান্য অংশে। এই অণুজীবের কারণে অন্যান্য স্বাস্থ্য সমস্যার ঝুঁকি বাড়ার সম্ভাবনা থাকে, যেমন, হৃদরোগ, স্ট্রোক ও নিউমোনিয়ার মতো শ্বাসকষ্ট জনিত ব্যাধি এবং ফুসফুসের অন্যান্য রোগ।ডায়াবেটিস থাকলে রোগির মাড়ির সংক্রমণ জনিত রোগ আরও জটিল হতে পারে।
মুখগহ্বরের স্বাস্থ্যের দুর্বলতা বোঝার উপায় ও করণীয়
সঠিক পরিচর্যার অভাবের লক্ষণ :
১। দাঁতের ফাঁকে খাবারের অংশ বিশেষ
২। দাঁতে গর্ত এবং মূল ক্ষয়
৩। ওজন হ্রাস
৪। দীর্ঘস্থায়ী দুর্গন্ধ
৫। লাল, ফোলা বা কোমল মাড়ি, যেখান থেকে ব্রাশ বা ফ্লসিং করার সময় রক্তক্ষরণ হয়
৬। কোনো আপাত কারণে দাঁত সংবেদনশীলতা
৭। দাঁত অবস্থানচ্যুত হওয়া বা নড়া
৮। মাড়ি এবং দাঁতের চারপাশে ফোলাভাব বা পুঁজ দেখা
৯। দাঁতের ডেন্চার (আর্টিফিসিয়াল দাঁত বা ব্রেস) ঢিলা হয়ে যাওয়া
করণীয়:
মাড়ির রোগ এবং দাঁত থেকে মুখের সংক্রমণ রোধে সহায়তা করার জন্য ক্ষয়, প্লাক ব্যাকটিরিয়া (সাদা, চটচটে পদার্থ) যা প্রতিদিন পরিষ্কার করা আবশ্যক। যখন প্লাকটি জমতে জমতে শক্ত হয়ে যায়, তাকে ক্যালকুলাস বা টার্টার বলা হয়।
গুরুতর অবস্থা হলে রোগীকে বা রোগীর অভিভাবককে সেই বিষয়ে অবগত করে এবং ডেন্টিস্টের শরনাপন্ন হওয়ার পরামর্শ দেওয়া উচিত। প্রয়োজনে কেয়ারগিভার রোগীকে ডেন্টিস্টের কাছে নিয়ে যাবে।
মুখগহ্বরের স্বাস্থ্য সুরক্ষার কেয়ারগিভারের নিয়মিত কাজ
১। ফ্লোরাইড টুথপেস্ট ব্যবহার করে দিনে দু’বার দাঁত ব্রাশ করাতে হবে।
২। প্রতিদিন ফ্রসের সাহায্যে দাঁতগুলোর মধ্যে পরিষ্কার করিয়ে দিতে হবে।
৩। প্রতিটি খাবারের পরে ভালোমত কুলকুচি করানো বা গ্রাহক করতে না পারলে দাঁতের ফাঁকের ময়লা পরিষ্কার করে ধুয়ে দিতে হবে।
৪। যদি ব্যক্তির মুখ ঘনঘন শুকিয়ে যায়, তবে অ্যালকোহল মুক্ত মাউঙ্খওয়ানে সাহায্য করতে পারে। বারেবারে অল্প অল্প পানি খাওয়া, কিউৰ চুষে খাওয়া চিবানো নয়) এবং ঘুমানোর সময় কিউনিভিকায়ার ব্যবহার করা তাকে হাইড্রেটেড রাখতে সহায়তা করতে পারে।
৫। বাহিরের খাবার এবং চিনিযুক্ত পানীয় এড়িয়ে চলতে হবে। স্বাস্থ্যকর খাবার এবং পানীয়, যেমন- ফল, শাকসবজি, শস্য দানা ও বিশুদ্ধ পানি মুখগহ্বর এবং শরীরের জন্য ভালো। ৬। প্রয়োজনে কেয়ারগিভার রোগীকে ডেন্টিস্টের কাছে নিয়ে যাবে।
মুখপহারের যন্ত্রের জন্য প্রয়োজনীয় উপকরণ

১। ম্যানুয়াল / ইলেক্ট্রিক টুথব্রাশ, ২। টুথপেষ্ট: ফুরাইটেড টুথপেস্ট, ৩। ডেন্টাল ফ্লস, ৪। মাউথ ওয়াশ, ৫। টুল পাউডার (প্রয়োজন হলে), ৬। পরিষ্কার পানি, ৭। টাওয়েল, ৮। টিস্যু, ১। কুলকুচি পাত্র, ১০। আল টুথব্রাশ, ১২। জিহ্বা ক্লিনার ইত্যাদি।
সঠিক পদ্ধতিতে দাঁত ব্রাশ ও জিহ্বা পরিষ্কার
ধাপ ১- দাঁত ব্রাশের মাথাটি দাঁতের বিপরিত দিকে রাখতে হবে, তারপরে মাড়ির সারির বিপরীতে ৪৫ ডিগ্রি কোলে বিস্টলের টিপসটি রেখে ছোট ছোট বৃত্তাকার গতিতে নড়াচড়া করে ব্রাশটি প্রতিটি দাঁতের সমস্ত পৃষ্ঠের উপরে কয়েকবার করে ঘুরাতে হবে।
ধাপ ২- প্রতিটি দাঁতের বাইরের পৃষ্ঠতল ব্রাশ করে উপরের এবং নীচের অংশে ব্রাশ করে মাড়ির সারির বিপরীতে রাখতে হবে।
ধাপ ৩- সমস্ত দাঁতের অভ্যন্তরের পৃষ্ঠগুলোতে একই পদ্ধতি ব্যবহার করতে হবে।
ধাপ ৪-দাঁতের চাবানোর পৃষ্ঠগুলো ব্রাশ করতে হবে।
ধাপ ৫-সামনের দাঁতগুলোর অভ্যন্তরের উপরিভাগ পরিষ্কার করার জন্য ব্রাশটি উল্লম্ব ভাবে কাজ করে এবং ফ্রান্সের সামনের অংশটি দিয়ে কয়েকটি ছোট বৃত্তাকার গতিতে নড়াচড়া করে ঘুরাতে হবে।
ধাপ ৬- জিহ্বা ব্রাশ করার ফলে শ্বাস সতেজ হবে এবং ব্যাকটিরিয়া অপসারণে সহায়তা করবে। এক্ষেত্রে টুথব্রাশ বা আলাদা জিহ্বা ক্লিনার ব্যবহার করা যেতে পারে৷
ধাপ ৭-এরপরে ভালোমত কুলকুচি করাতে হবে, তবে রোগী নিজ থেকে তা করতে না পারলে দাঁতের ফাঁকের ময়লা পরিষ্কার করে ধুয়ে দিতে হবে।
ধাপ ৮-মুখমণ্ডল উষ্ণ পানি দিয়ে ভালোমত ধুয়ে বা মুছে দিতে হবে।